专利数据库
统计分析
产业报告
专利数据监控
产业人才
行业动态
产业政策法规
维权援助
个人中心
详情
文本
图像
标题
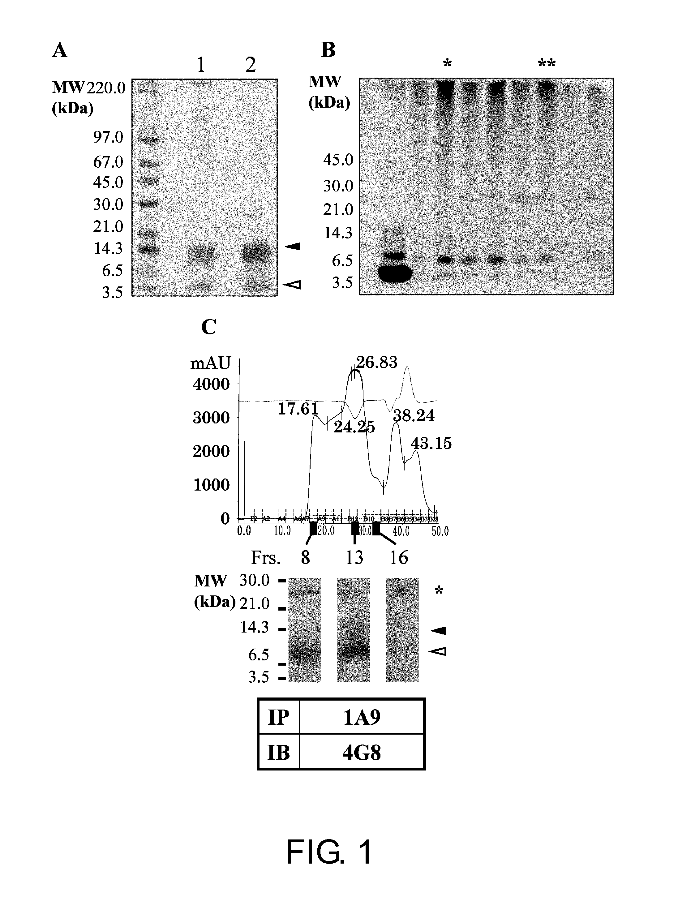
Antibody Capable of Binding Specifically to AB-Oligomer, and Use Thereof
授权日
1900-01-01
公开(公告)号
US20110097319A1
申请日
2010-08-05
公开(公告)日
2011-04-28
当前申请(专利权)人
IMMUNAS PHARMA, INC. | NATIONAL CENTER FOR GERIATRICS AND GERONTOLOGY
发明人
MATSUBARA, ETSURO | SHIBATA, MASAO | YOKOSEKI, TATSUKI
简单同族
AU2009211635A1 | AU2009211635B2 | AU2014224074A1 | CA2714413A1 | CA2714413C | CN102124105A | CN102936287A | CN102936287B | DK2246427T3 | EP2246427A1 | EP2246427A4 | EP2246427B1 | EP3121277A1 | EP3121277B1 | ES2617604T3 | HK1149585A | HK1181789A | HK1181789A1 | HUE031944T2 | JP2013063976A | JP5113853B2 | JP5765857B2 | JPWO2009099176A1 | JPWO2009099176A5 | KR101616136B1 | KR1020100113623A | PL2246427T3 | PT2246427T | SG188116A1 | US20100028357A1 | US20110097319A1 | US20130149316A1 | US8378081 | US9090680 | WO2009099176A1
简单同族成员数量
35
简单同族被引用专利总数
99
诉讼案件数
0
法律状态/事件
撤回 | 权利转移
抱歉,您的浏览器不支持PDF预览,请点击链接下载PDF文件